+7-914-2-72-72-12
+7-914-2-70-78-11
г. Якутск, Ойунского 31/3
ПРИМЕРЫ ВЫПОЛНЕННЫХ РАБОТ

ЦИФРОВОЕ ОРТОДОНТИЧЕСКОЕ ЛЕЧЕНИЕ - ЭЛАЙНЕРЫ
Благодаря развитию цифровой стоматологии появилась альтернатива несъемным брекет-системам. В этом кейсе расскажем о преимуществах элайнеров.
Работа врача-ортодонта: Тимофеевой А.Н

ЦИФРОВОЕ ПРОТЕЗИРОВАНИЕ ИЗ ДИОКСИДА ЦИРКОНИЯ: КОГДА ТОЧНОСТЬ ВСТРЕЧАЕТСЯ С БИОЛОГИЕЙ
Работа врача-ортопеда: Ксенофонтова А.А

ЧТО ДЕЛАТЬ ЕСЛИ У ВАС ЧУВСТВИТЕЛЬНЫЕ ЗУБЫ И ВЫ РЕШИЛИСЬ НА ПРОФЕССИОНАЛЬНОЕ ОТБЕЛИВАНИЕ?
Работа врача-терапевта: Карбушевой Н.В

ПОЧЕМУ ПРОФЕССИОНАЛЬНАЯ ГИГИЕНА НУЖНА КАЖДЫЕ 6 МЕСЯЦЕВ?
Профессиональная гигиена раз в полгода — это стандарт, рекомендованный Всемирной организацией здравоохранения. В данном кейсе раскроем почему это так важно!
Работа врача-гигиениста: Чаховой У.К

КАК ПРОДЛИТЬ ЭФФЕКТ ПОСЛЕ ОТБЕЛИВАНИЯ ZOOM4?
Система Zoom 4 — один из самых эффективных методов профессионального отбеливания. В данном кейсе расскажем как необходимо ухаживать за зубами после этой процедуры
Работа врача-терапевта: Карбушевой Н.В

ПОЧЕМУ ПРИ РЕСТАВРАЦИИ ЗУБА МЫ ВОЗВРАЩАЕМ ПРИРОДНУЮ ФОРМУ И ЦВЕТ?
Работа врача-общей практики: Баишева Н.Л

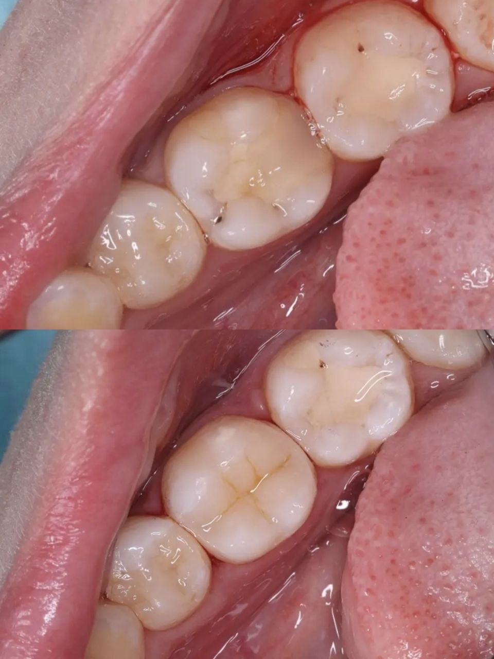
Срок службы композитной реставрации: когда пора менять «пломбу»?
В данном кейсе мы раскроем сколько по времени может служить композитная реставрация и почему очень важно ее менять своевременно..
Работа врача-общей практики: Баишева Н.Л

Когда от "пломбы" уже переходим к коронке?
В данном кейсе расскажем в каких случаях надо выбирать ортопедическую коронку, а не "пломбу" на примере зуба 4.6
Работа врача-общей практики: Баишева Н.Л

БИОЛОГИЧЕСКОЕ ПРЕПАРИРОВАНИЕ: ЛЕЧЕНИЕ КАРИЕСА БЕЗ ЖЕРТВ
Один из наших стандартов при лечении кариеса зубов
Работа врача-общей практики: Баишева Н.Л

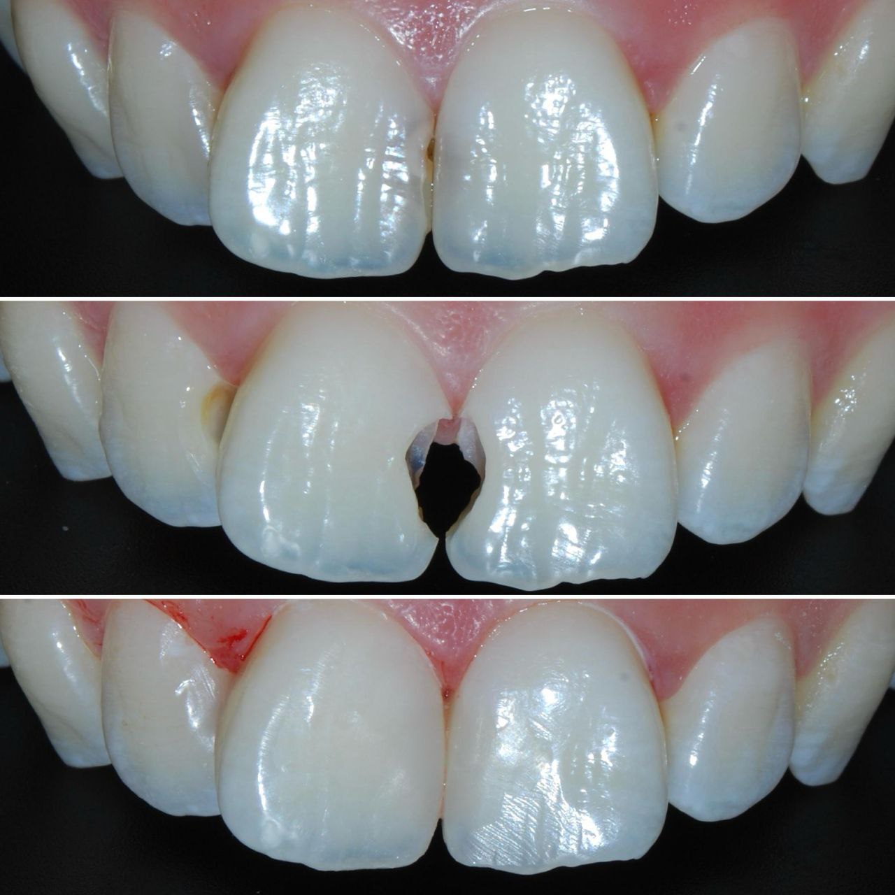
ЧЕМ ТАКОЕ "СКРЫТЫЙ" КОНТАКТНЫЙ КАРИЕС?
Пациент обратился с жалобой на эстетический дефект и "серость" между зубами. В данном кейсе мы раскроем чем опасен "скрытый" кариес
Работа врача-терапевта: Камбарова А.А

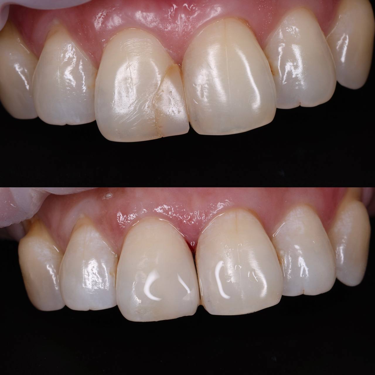
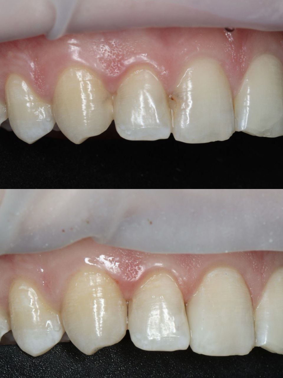
ОСОБОЕ ВНИМАНИЕ К ЭСТЕТИЧЕСКОЙ ЗОНЕ
Пациент обратился с жалобой на "серый" неэстетический вид центрального резца и сильную реакцию от холодного.
В этом кейсе мы раскроем благодаря каким подходам и материалам можно вернуть естественный цвет разрушенного зуба
Работа врача-общей практики: Баишева Н.Л

ЧЕМ ОПАСЕН КАРИЕС У ПОДРОСТКОВ?
Пациент 14 лет, обратился с жалобой на сильную реакцию от "сладкой" пищи.
В подростковом возрасте кариозный процесс развивается очень быстро в связи с "несформированностью" твердых тканей зуба
Работа врача-терапевта: Колесовой С.А
ТЕХНИКА КОРНЕВОГО ЩИТА
Тонкие кости - анатомическая особенность азиатов. После удаления зуба часто передняя стенка разрушается, что в последующем при имплантации требует сложных длительных хирургических вмешательств.
ТУННЕЛЬНАЯ ПЛАСТИКА ДЕСНЫ
с добавлением аутотрансплантанта. ⠀ К нам обратился пациент с жалобой на эстетитический дефект десны.
ЧЕМ ЧРЕВАТО ОТСУТСТВИЕ БОКОВЫХ ЗУБОВ
➡️человек не может полноценно пережёвывать пищу, что ведёт к ➡️ гастрит, холицистит, панкреатит, а это в свою очередь
Центр стоматологии «Леостом» является членом Международного конгресса имплантологии (ICOI), одна из клиник Дальнего Востока изучающей проблемы дентальной имплантологии, в рамках которого проходят обучающие курсы для врачей стоматологов разных специализаций, работа ведется в тесной связи с лучшими клиниками по дентальной имплантологии России, Германии, Южной Кореи и других зарубежных стран. Наши специалисты нацелены на западные стандарты качества. Каждый человек, хоть раз испытавший зубную боль, мечтает о том, чтобы его стоматологические проблемы были решены как можно быстрее, раз и навсегда.
Это становится возможным не только благодаря наличию в клинике современного оборудования и высококачественных материалов для лечения зубов, а также профессионализму, ответственности и доброжелательности наших врачей. Директор нашего центра - Исаков Леонид Олегович – кандидат медицинских наук, доцент кафедры хирургических болезней и стоматологии ФПОВ МИ СВФУ им. М.К.Аммосова, член Международного конгресса стоматологической имплантологии ICOI, член правления ассоциации стоматологов РС(Я).
КОНТАКТЫ
+7-914-2-72-72-12
+7-914-270-78-11
677008, г.Якутск, ул. Ойунского 31/3
Режим работы:пн-сб : 8:00ч - 20:00ч
leostom@inbox.ru
РЕКВИЗИТЫ
Почтовый адрес:677013, г.Якутск, ул. Ойунского, 31/3, 2-этажное зданиеИНН: 1435218276 ОГРН: 1091435006816ООО «ЛЕОСТОМ»Р/с 40702810576000004241